Welcome to 80 Park Avenue Dental
Where Every Smile Begins With Care
At 80 Park Avenue Dental, we believe in delivering personalized care that puts your smile first. Whether you need cosmetic enhancements, restorative treatments, general dentistry, or specialized services in orthodontics and periodontics, we’re here to help. Dr. Sporer and our team take the time to understand your needs, providing a comfortable environment where your oral health is our priority. As a trusted dentist in New York, NY, we’re committed to helping you achieve a healthy, beautiful smile. Reach out today to schedule your consultation and take the first step toward a brighter smile.
Learn More
Meet the Doctors
Complete Dental Solutions
At 80 Park Avenue Dental, we provide a full range of dental care services in New York to meet all your oral health needs. From routine check-ups to advanced dental treatments, our experienced team is dedicated to helping you achieve a healthy, beautiful smile.
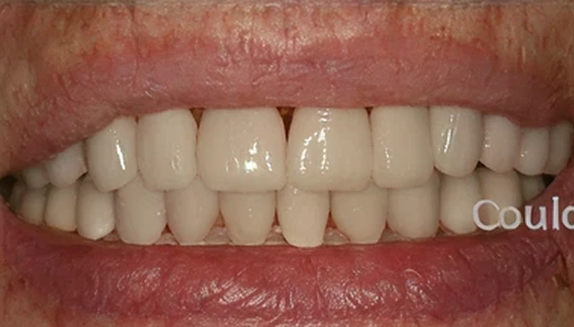
Smile Gallery
Explore our Smile Gallery to see real before-and-after transformations achieved at 80 Park Avenue Dental. From Invisalign to dental implants and cosmetic treatments, our results speak for themselves.

Before

After

Before

After

Before

After

Why Choose 80 Park Avenue Dental?
We are committed to providing comprehensive oral care in a comfortable, welcoming environment. Here’s why patients trust us for their dental needs:
- Cutting-Edge Technology: We use advanced tools, including cone beam scanners, digital X-rays, digital impressions, Waterlase, and laser dentistry, to deliver precise, effective treatments.
- All-Inclusive Dental Services: Whether it’s a routine checkup or a cosmetic makeover, we offer a full range of dental treatments to address your unique needs.
- Personalized Care: We listen to your concerns and take the time to create a treatment plan that’s right for you.
- Convenient Location: Our dental practice is centrally located in New York, making it easy for you to access top-tier dental care when you need it most.







